関谷歯科医院の診療についてTreatment
入れ歯づくりは
患者さんとの二人三脚
当院の入れ歯はQOL(生活の質)と噛み合わせを
第一に考えています
入れ歯治療の実績多数
丁寧な診断・カウンセリング
お悩みの方

噛み合わせを考えた入れ歯
噛み合わせの筋肉のバランスを崩してしまい、上顎に対する下顎の位置が本来の正しい位置からズレてしまっている場合があります。噛み合わせの悪い入れ歯をいくら調整しても、粘膜の痛みが取れません。

入れ歯のセカンドオピニオン
他の歯科医院で作製した入れ歯を調整する事も可能です。入れ歯のセカンドオピニオンを行っておりますので、お気軽にお問い合わせください。

トレーニング
発音・噛む筋肉のトレーニング。バランスの取れた噛み方のトレーニング。
症例case
“金属床”と“ノンクラスプ”の
コンビネーション

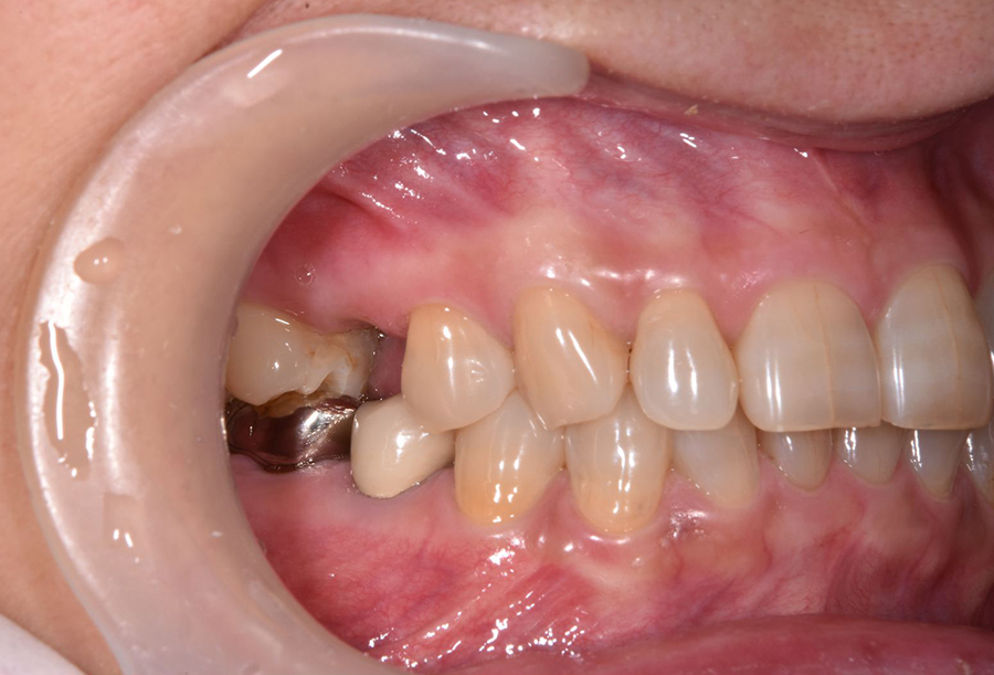
before

after
“ノンクラスプ”の症例

before

after
入れ歯の悩みとQ&AQuestion & Answer
関谷歯科医院のご案内Clinic

都立家政駅から3分
北口商店街にある歯科医院
山手線 高田馬場駅から6駅です
当院は中野区鷺宮という住所ですが、最寄り駅は「西武新宿線:都立家政」駅です。お車でいらしていただく場合は、駐車場がありますのでご利用ください。電車でお越しの方は、都立家政駅の北口より直進して頂ければ3分ほどで当歯科医院に到着します。
Moreおすすめの入れ歯治療
「ノンクラスプデンチャー」
ノンクラスプデンチャーは部分入れ歯で、バネがなく審美性が高いです。機能面でも優れており、柔らかくお口にフィットします。従来の入れ歯と比べて、お口の中の違和感が少なく、食事も美味しく笑顔でいただけます。
More